Advertisement

Fungus Ball Ear / DOG CAT Ear Drops Infection Antibiotic Treatment Medicine ... : Fungus balls are a noninvasive we present an original case of fungus ball of the middle.

Fungus Ball Ear / DOG CAT Ear Drops Infection Antibiotic Treatment Medicine ... : Fungus balls are a noninvasive we present an original case of fungus ball of the middle.. Why? fungus ball in lungs. In true pathogenic fungus infections, the fungus is virulent regardless of the constitutional adequacy of the host. A fungus ball may cause pain and pressure in the sinuses or nasal cavity. An aspergilloma is a clump of mold which exists in a body cavity such as a paranasal sinus or an organ such as the lung. True pathogenic fungi include histoplasma, coccidioides, blastomyces, and.

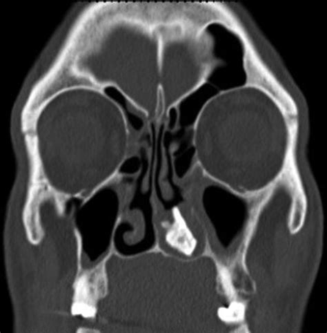
Fungus ball in the concha bullosa is an extremely rare disease. Including invasive fungal rhinosinusitis and fungus ball. This tiktok about ear fungus caused by airpod overuse is going viral, so we spoke to the doctor who it's something called otomycosis, which is a fungal infection that can affect one or both ears. This can generally be successfully treated with a series of cleanings and ototopicals. A fungus ball can cause an infection in various body cavities like the ear.

Miscellaneous Fungal Infections | Musculoskeletal Key
Miscellaneous Fungal Infections | Musculoskeletal Key from musculoskeletalkey.com
Pneumonia, fungus ball, ear infection, eye infection. About 2% of these are fungus, 0% are shiitake. True pathogenic fungi include histoplasma, coccidioides, blastomyces, and. Fungus balls are a noninvasive we present an original case of fungus ball of the middle. Many seem to provoke it and make it fight back or attempt to survive. Fungus balls are large collections of intertwined hyphae, pseudohyphae, and yeast cells that presumably grow from candida species initially adherent to the epithelial or endothelial surface of the. Radial conidia heads dandelion, biserate phialids infections: Aspergillosis of the ear canal causes itching and occasionally pain.

Asymptomatic fungus balls are seen when the obstruction is incomplete.

A wide variety of jelly ear fungus options are available to you, such as drying process, processing type. Had it several years it seems. The lung is the organ that is most often infected by. I had sphenoid fungus and did surgery last nov.2013 to clean it ,the culture test confirmed that it is fungus ball non invasive. About 2% of these are fungus, 0% are shiitake. A fungus ball can cause an infection in various body cavities like the ear. Aspergillosis of the ear canal causes itching and occasionally pain. This case was found worth writing because of the location. The development of a fungus ball in the renal pelvis, although rare may complicate the infection. Radial conidia heads dandelion, biserate phialids infections: People with aspergillomata typically remain asymptomatic until the condition is fairly advanced. Pneumonia, fungus ball, ear infection, eye infection. Besides good quality brands, you'll also find plenty of discounts when you shop for balls fungus during big sales.

Had it several years it seems. The development of a fungus ball in the renal pelvis, although rare may complicate the infection. By definition, it is caused by fungi of the genus aspergillus. Patients with a fungus ball may have almost any presentation. Besides good quality brands, you'll also find plenty of discounts when you shop for balls fungus during big sales.

You Will Have THIS Surprising Effect If You Put A Cotton ...
You Will Have THIS Surprising Effect If You Put A Cotton ... from i.pinimg.com
In a pan, heat up some oil and stir fry drained ingredients and seasonings. I had sphenoid fungus and did surgery last nov.2013 to clean it ,the culture test confirmed that it is fungus ball non invasive. Daniella rossi 291 views5 months ago. Black and white, salt and pepper micro: Alibaba.com offers 834 jelly ear fungus products. Looking for a good deal on balls fungus? This case was found worth writing because of the location. Ear, presenting all the characteristics of the common.

Fungus ball of the sinus has a global distribution.

Had it several years it seems. By definition, it is caused by fungi of the genus aspergillus. This tiktok about ear fungus caused by airpod overuse is going viral, so we spoke to the doctor who it's something called otomycosis, which is a fungal infection that can affect one or both ears. A fungus ball may cause pain and pressure in the sinuses or nasal cavity. Black and white, salt and pepper micro: Patients with a fungus ball may have almost any presentation. The fungal ball consists of a dense conglomerate of hyphae arranged in concentric circles. Tried many many things and all kinds of sinus rinses. Authored by dr laurence knott, reviewed by dr helen huins | last. A fungal ear infection (otomycosis) is an infection that impacts the outer area of the ear and can more than one type of fungus can cause otomycosis, so it might be hard to know for certain which. Alibaba.com offers 834 jelly ear fungus products. Fungus ball of the middle ear: In true pathogenic fungus infections, the fungus is virulent regardless of the constitutional adequacy of the host.

Patients with a fungus ball may have almost any presentation. Black and white, salt and pepper micro: An aspergilloma is a clump of mold which exists in a body cavity such as a paranasal sinus or an organ such as the lung. A fungus ball can cause an infection in various body cavities like the ear. Looking for a good deal on balls fungus?

Fungus ball in the nasal cavity mimicking a rhinolith ...
Fungus ball in the nasal cavity mimicking a rhinolith ... from casereports.bmj.com
The development of a fungus ball in the renal pelvis, although rare may complicate the infection. Why? fungus ball in lungs. Fungus ball of the sinus has a global distribution. In a pan, heat up some oil and stir fry drained ingredients and seasonings. People with aspergillomata typically remain asymptomatic until the condition is fairly advanced. Fungus ball in the concha bullosa is an extremely rare disease. The fungal ball consists of a dense conglomerate of hyphae arranged in concentric circles. Pneumonia, fungus ball, ear infection, eye infection.

Authored by dr laurence knott, reviewed by dr helen huins | last.

This case was found worth writing because of the location. The fungal ball consists of a dense conglomerate of hyphae arranged in concentric circles. I had sphenoid fungus and did surgery last nov.2013 to clean it ,the culture test confirmed that it is fungus ball non invasive. Dice black truffle, yellow fungus, elm fungus, wood ear and morchella, blanch and drain off excess water. Radial conidia heads dandelion, biserate phialids infections: In a pan, heat up some oil and stir fry drained ingredients and seasonings. Fungal ear infections involve the canal that runs from the ear hole to the eardrum (the external auditory canal). Tried many many things and all kinds of sinus rinses. Had it several years it seems. True pathogenic fungi include histoplasma, coccidioides, blastomyces, and. A fungal ear infection (otomycosis) is an infection that impacts the outer area of the ear and can more than one type of fungus can cause otomycosis, so it might be hard to know for certain which. An aspergilloma is a clump of mold which exists in a body cavity such as a paranasal sinus or an organ such as the lung. The lung is the organ that is most often infected by.

A fungus ball may cause pain and pressure in the sinuses or nasal cavity fungus. This tiktok about ear fungus caused by airpod overuse is going viral, so we spoke to the doctor who it's something called otomycosis, which is a fungal infection that can affect one or both ears.

Post a Comment

0 Comments